Calificar para Oferta

¿Tu Sonrisa Proyecta la Autoridad que Tienes?

Descubre la Ortodoncia de Autoligado. El tratamiento diseñado para líderes que no pueden permitirse brackets metálicos. Alinea tu sonrisa, proyecta confianza y fortalece tu imagen profesional.

Ver Opciones (Solo 5 Cupos) →
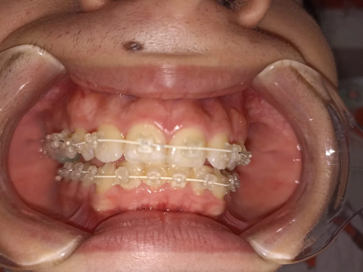
Brackets de zafiro transparentes en dientes

¿De Acuerdo? En liderazgo, tu presencia habla primero.

¿Te identificas con estas situaciones?

Sientes que tu sonrisa no está al nivel de tu puesto o logros.
Evitas sonreír abiertamente en fotos o videollamadas.
Rechazas la idea de usar brackets metálicos tradicionales.

LA TECNOLOGÍA DETRÁS DE TU IMAGEN DE ÉXITO

No usamos brackets comunes. Usamos la élite en Ortodoncia de Autoligado.

Ventajas de la Ortodoncia de Autoligado con Zafiro (Importados)

  • Invisibilidad Absoluta:
  • No se manchan. Nadie notará que los llevas.
  • Tecnología de Autoligado:
  • Sin ligas. Menos fricción. Resultados más rápidos y visitas más cortas.
  • Eficiencia Ejecutiva:
  • Menos visitas al consultorio, perfecto para agendas ocupadas.
  • Máxima Higiene:
  • Al no usar ligas, son más fáciles de limpiar, protegiendo tus encías, reduciendo el riesgo de caries e inflamación de encías durante el tratamiento.

Dato de Impacto

La versión más translúcida de los brackets autoligables más estéticamente agradables del mercado mundial, 100% transparentes.

Señales de que tu Sonrisa te está Costando Oportunidades

Inseguridad al Liderar

La maloclusión está asociada con una menor calidad de vida percibida y mayor ansiedad social, afectando tu capacidad de proyectar confianza.

Referencia: Seehra, J., et al. (2011). The psychosocial impact of malocclusion. *European Journal of Orthodontics*.

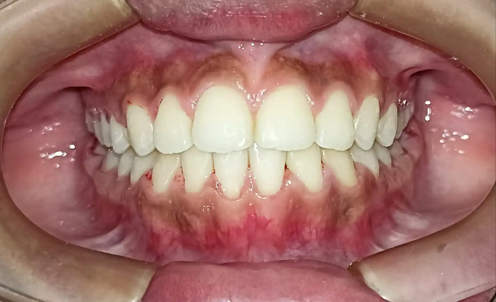
Riesgos de Salud a Futuro

El apiñamiento dental dificulta la higiene, lo que incrementa el riesgo de enfermedad periodontal, la principal causa de pérdida de dientes en adultos.

Referencia: Heitz-Mayfield, L. J. (2008). Periodontal diseases. *The Lancet*.

Lo que dicen nuestros pacientes ejecutivos

Tu Paquete Ejecutivo de Bienvenida

Nuestras promociones de Fin de Año están **limitadas a 5 pacientes** para garantizar la calidad. Reserva tu valoración con solo $400 (abonables a tu tratamiento) y asegura tu oferta.

Reservar Mi Valoración Ahora